
Laserový prístroj sa aplikuje cez nosovú dutinu. Aplikácia je neinvazívna a bezbolestná.
Monochromatické, koherentné a polarizované fotóny červeného svetla s nízkou intenzitou prenikajú do krvných vlásočníc a ozdravujú krv.
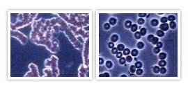
Zmeny v krvi je možné pozorovať mikroskopom už po 30 minútach použitia prístroja.

Obrázok vľavo: Veľa ľudí má červené krvinky (erytrocyty) pospájané tak, ako to vidíme na prvom obrázku. Tento stav sa nazýva zhlukovanie resp. vytváranie mikrotrombov. Zhlukovanie krviniek, ako aj nízka elasticita ciev a erytrocytov sú príčiny, prečo je tok krvi v najtenších kapilárach sťažený. Srdce musí vynaložiť väčší výkon a tlak, aby malo telo dostatok kyslíka. Pokiaľ to srdce nezvláda, cievy v neokysličených oblastiach sa rozširujú. Môže to spôsobiť nedostatočné okysličenie a bolesti v oblastiach s nedostatkom kyslíka. V takýchto prípadoch môže dôjsť k stupňovaniu ochorení ako mozgová hypoxia, problémy s krvnou cirkuláciou, srdcový infarkt, mozgová mŕtvica, ischemické choroby srdca atď.
Obrázok vpravo: Po ošetrení BIOquantom® sa krv a jej vlastnosti okamžite zlepšia. U športovcov dochádza k zvýšeniu vytrvalosti v dôsledku dôkladného okysličenia všetkých orgánov, zamedzí sa prekysleniu organizmu a zlepší a urýchli sa odbúravanie kyseliny mliečnej zo svalov. Pri dlhodobých zdravotných problémoch k náprave dochádza postupne. Červené krvinky sa oddelia, zlepší sa okysličenie a dochádza k aktivácií enzýmov, ktoré rozpúšťajú lipidy (tuky) a iné substancie v krvi. V porovnaní so začiatočným stavom sa zvyšuje špecifický povrch erytrocytov, čím dochádza k značnému zlepšeniu schopnosti erytrocytov viazať kyslík aj oxid uhličitý.